


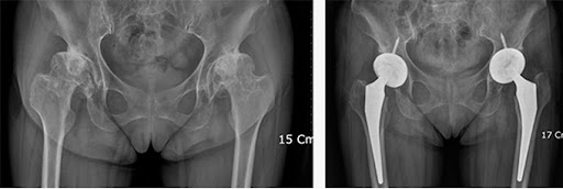
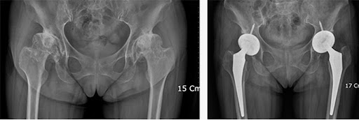
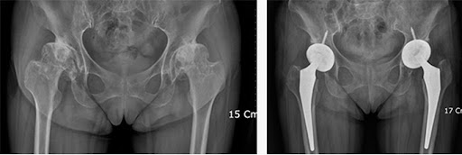
고관절 수술은 많은 사람들에게 필요한 복잡한 수술입니다. 나이가 들면서 또는 외상으로 인해 고관절의 기능이 떨어지면, 수술이 불가피해질 수 있습니다. 하지만 이러한 수술이 끝난 뒤에도 많은 이들이 어떤 과정을 거쳐 회복할 수 있을지에 대한 걱정이 많습니다. 이 블로그 글에서는 고관절 수술 후 회복기간과 단계별 재활 과정에 대해 상세히 알아보겠습니다. 정확한 정보를 통해 여러분의 회복 과정이 더욱 원활해지길 바랍니다.
고관절 수술 후 회복기간



고관절 수술 후 회복기간은 많은 요인에 따라 달라질 수 있습니다. 환자의 나이, 건강 상태, 수술 유형 등이 이에 포함됩니다. 고관절 수술의 전형적인 기간은 수술 후 6주에서 6개월까지 다양할 수 있습니다. 이 시간 동안 몸은 점진적으로 회복되며, 환자는 일상생활로 복귀할 수 있게 됩니다.
초기 회복 단계



수술 직후 초기 회복 단계는 환자의 불편함이 가장 크고, 지원이 많이 필요한 시기입니다. 이 시기에 목표는 통증 관리와 움직임 개선입니다. 대부분의 환자는 수술 후 24시간 이내에 물리 치료를 받을 수 있으며, 이는 관절의 경직을 방지하고 혈액 순환을 촉진하는 데 큰 도움이 됩니다.
물리 요법의 중요성



초기 회복 동안 물리 치료사는 환자의 회복을 더욱 원활하게 도와주는 중요한 역할을 합니다. 물리 치료는 다음과 같은 방법으로 진행될 수 있습니다:
- 기초 운동: 수술 부위를 부드럽게 움직이는 기초 운동을 시작합니다. 이를 통해 관절의 유연성을 유지합니다.
- 기계적 보조: 휠체어, 목발 등의 보조 기구를 사용하여 이동성을 높입니다.
- 통증 관리: 필요에 따라 약물 사용 또는 물리 치료 기구를 이용해 통증을 관리합니다.
이 모든 것이 초기 회복의 중요한 부분으로 작용하여, 환자가 하루하루 조금씩 나아지는 모습을 느낄 수 있도록 도와줍니다. 초기 단계에서 중요한 것은 무리하지 않고 천천히 진행하는 것입니다, 왜냐하면 몸이 새로운 상태에 적응하는 데 시간이 필요하기 때문입니다.
중간 회복 단계



중간 회복 단계는 초기 회복 후 약 1개월에서 4개월 사이의 기간입니다. 이 시기는 환자가 더 많은 자율성을 갖기 시작하고, 다양한 운동을 시도할 수 있는 시점입니다. 이때는 강도 높은 운동을 통해 근력을 회복하고, 일상 생활에 더 가까운 활동을 전개할 수 있습니다.
운동의 다양화



환자가 중간 회복 단계에 접어들면 다음과 같은 다양한 운동을 포함할 수 있습니다:
- 균형 훈련: 통증이 줄어들기 시작하면, 균형 감각을 회복하기 위한 운동을 통해 넘어질 위험을 줄이는 것이 중요합니다.
- 근력 강화 운동: 주로 다리 근육을 강화하기 위한 운동을 통해 고관절 주변 근육을 강화합니다.
- 유산소 운동: 수영이나 저강도 자전거 타기와 같은 유산소 운동으로 체력을 증진시킬 수 있습니다.
이러한 운동은 중간 회복 단계에서 매우 중요한데, 점진적으로 몸의 기능을 회복시키며 환자가 일상생활로 돌아갈 준비를 하는 데 도움이 됩니다. 이 시기에 자신감이 많이 생겨나며, 이후 단계로 나아가는 데 필수적입니다.
최종 회복 단계



최종 회복 단계는 수술 후 약 4개월에서 6개월 사이에 이루어지며, 이 단계에서는 거의 모든 활동을 할 수 있습니다. 이 시기에 목표는 전반적인 체력 회복과 자신감 증진입니다.
일상으로의 복귀



이 단계에서는 환자가 일상생활로 완전히 복귀할 수 있도록 여러 가지 활동을 시도합니다. 특히 주의해야 할 점은 다음과 같습니다:
- 일상적인 걷기: 처음에는 짧은 거리부터 시작하여 점차 거리를 늘려갑니다.
- 사고 예방: 운동 중 사고가 발생하지 않도록 주변 환경을 안전하게 유지합니다.
- 통증 관찰: 운동 중 통증이 느껴질 경우, 즉시 중단하고 의료진과 상의하여야 합니다.
최종 회복 단계에서는 환자가 더 다양한 활동을 자유롭게 시도할 수 있지만, 여전히 신중함이 필요합니다. 여러 가지 활동을 통해 자신감을 가지고 일상으로 복귀하는 것이 최종 목표입니다.
결론



고관절 수술 후 회복 과정은 결코 쉽지 않은 여정입니다. 하지만 단계를 잘 익히고, 정해진 계획에 따라 실행하면 더욱 순조롭게 진행할 수 있습니다. 각 회복 단계에서 필요한 운동과 관리 방법을 숙지하고, 의료진의 지도를 받으며 나아간다면 최종적으로 건강한 몸을 되찾을 수 있을 것입니다. 무엇보다 긍정적인 마음가짐이 이 회복의 가장 큰 자산임을 잊지 않기를 바랍니다.